Your Smile, Our Specialty
Periodontics in Bethesda, MD & Washington D.C.
About Us
Oral Health Care You Can Trust
Welcome to District Dental Surgery, where exceptional oral health meets unparalleled service. With premier locations in Washington, D.C., and Bethesda, Maryland, we specialize in advanced periodontics, combining cutting-edge technology with the highest level of personalized care. From the moment you step into our state-of-the-art offices, you’ll notice our focus on providing an elevated patient journey tailored to your individual needs. Experience dental care as it should be personalized, luxurious, and second to none. Discover the difference between patient centered care in a setting designed to exceed expectations. At District Dental Surgery, we don’t just treat your smile – we elevate it.
Luxury, Concierge-Like Service
State-of-the-Art Technology
Personalized Patient Care
Our philosophy is rooted in providing individualized attention to every patient, ensuring that your unique needs and goals are at the center of everything we do. From your initial consultation to your personalized treatment plan, we take the time to understand your concerns, answer your questions, and create a care experience that is seamless, comfortable, and tailored just for you.
Meet The Doctors
Our team, led by highly skilled and experienced periodontists, is dedicated to providing world class periodontal care with precision, innovation, and compassion. With years of experience and a passion for helping patients achieve healthy, beautiful smiles, our doctors ensure every patient receives personalized treatment in a comfortable and modern environment.
Testimonials
What Patients Are Saying
Dr. Yousefi was fantastic. She was calm, funny, and capable. She immediately put me at ease (I was pretty anxious). I have never been numbed up so quickly and near painlessly – and the rest of the procedure was then painless, too. She and her team gave clear directions as to what to do for the next 24 hours and beyond, what to eat, how to care for the flipper temporary tooth, and answered all my questions. The staff called me the next business day to follow up and answered more questions that I had come up with by then. Highly recommend.
Phyllis R.
Dr Lucy Johnson was the best! I really am grateful for her help with my dental issue, and so impressed how fast she got me in and that she was so understanding of my dental anxiety! She made sure my anxiety was controlled before my appointment and was extra careful to ensure no pain during the procedure at all. Highly highly recommend!
Halima B.
My family and I have been patients for maybe 10-15 years! After trying a bunch of different dentists, we found Dr. Yousefi and have been happy with her team and their services ever since. She has helped us with minor issues as well as major long-term care, including a broken tooth and a few implants. The service has always been amazing, and we are very happy with the quality and expertise here. The new, amazing facilities with super convenient parking are just the cherry on top!
Dmitry K.
I had a front tooth extraction with a bone grafting procedure done by Dr. Lucy Johnson, and the experience was excellent from start to finish. She explained everything clearly, made me feel completely at ease, and everything went so well during the surgery.
The recovery has gone better than expected. I was thinking that my temporary would look rugged, but it looks better than my natural tooth! The procedure was painless and recovery has been a breeze- very minimal discomfort. Her team was professional, kind, and responsive throughout. I truly appreciate the level of expertise and compassion Dr. Johnson brings to her work. Highly recommend her to anyone!
Sandra G.
I had gum recession on my molars from brushing too hard. I saw Dr Lucy Johnson and she was amazing. She was kind, patient, and thoroughly explained everything they were doing, including my treatment plan, and answered any questions I had. I couldn’t be happier with my outcome! I would highly recommend.
Dylan P.
Two weeks post-surgery and I couldn’t recommend this office more. Both doctors are wonderful and clearly very experienced with a patient-first mindset. The office followed up frequently after my surgery to ensure I was recovering well and to answer any questions. After two weeks, I have no pain from the surgery and the gums have already healed up. If you are in need of any dental surgery work, I would 100% recommend this office!
Michael A.
Sara is an excellent dental hygienist and really cares about her patients. She is very good at providing a regimen to help my gums. Dr. Eskow did my gum revision surgery years ago and he’s the best. I recently needed some more work done around the come on 12 and Dr. Eskow handled it beautifully, and his assistant Emily was great.. And the staff at the front desk always makes it a pleasant visit.
Mimi B.
Sholto S.
I’ve been a patient of Dr. Raha Yousefi for over two years, and she is truly one of the best. From day one, her professionalism and genuine care for her patients were evident. Dr. Yousefi’s expertise in dentistry is outstanding, and she takes the time to explain every step of the treatment, ensuring I feel comfortable and informed. Her warm and compassionate personality makes every visit a pleasant experience, and it’s clear she deeply values her patients. The staff at her practice is equally amazing—always friendly, professional, and welcoming. I highly recommend Dr. Yousefi to anyone seeking a dentist who combines professional excellence with heartfelt care.
Cezanne B.
Services
Our Services & Commitment to Your Care
Dental implants are a popular and effective way to replace missing teeth and are designed to provide a foundation for prosthetics that look, feel, and function like natural teeth. If you have lost a tooth or teeth due to injury, disease, or tooth decay, and would like to explore your options for dental implants, our team at District Dental Surgery can help. We offer a variety of implant solutions and will work with you to find the best option for your needs.
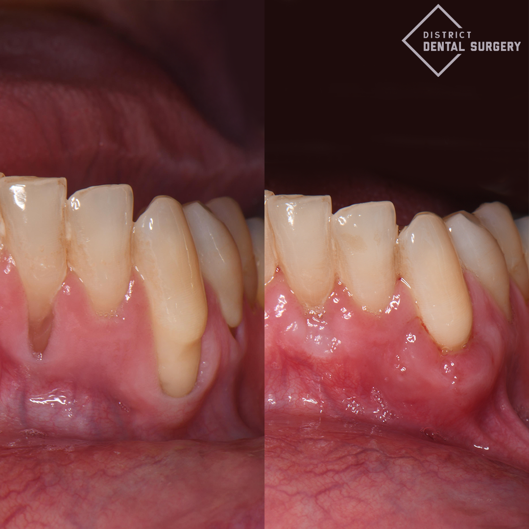
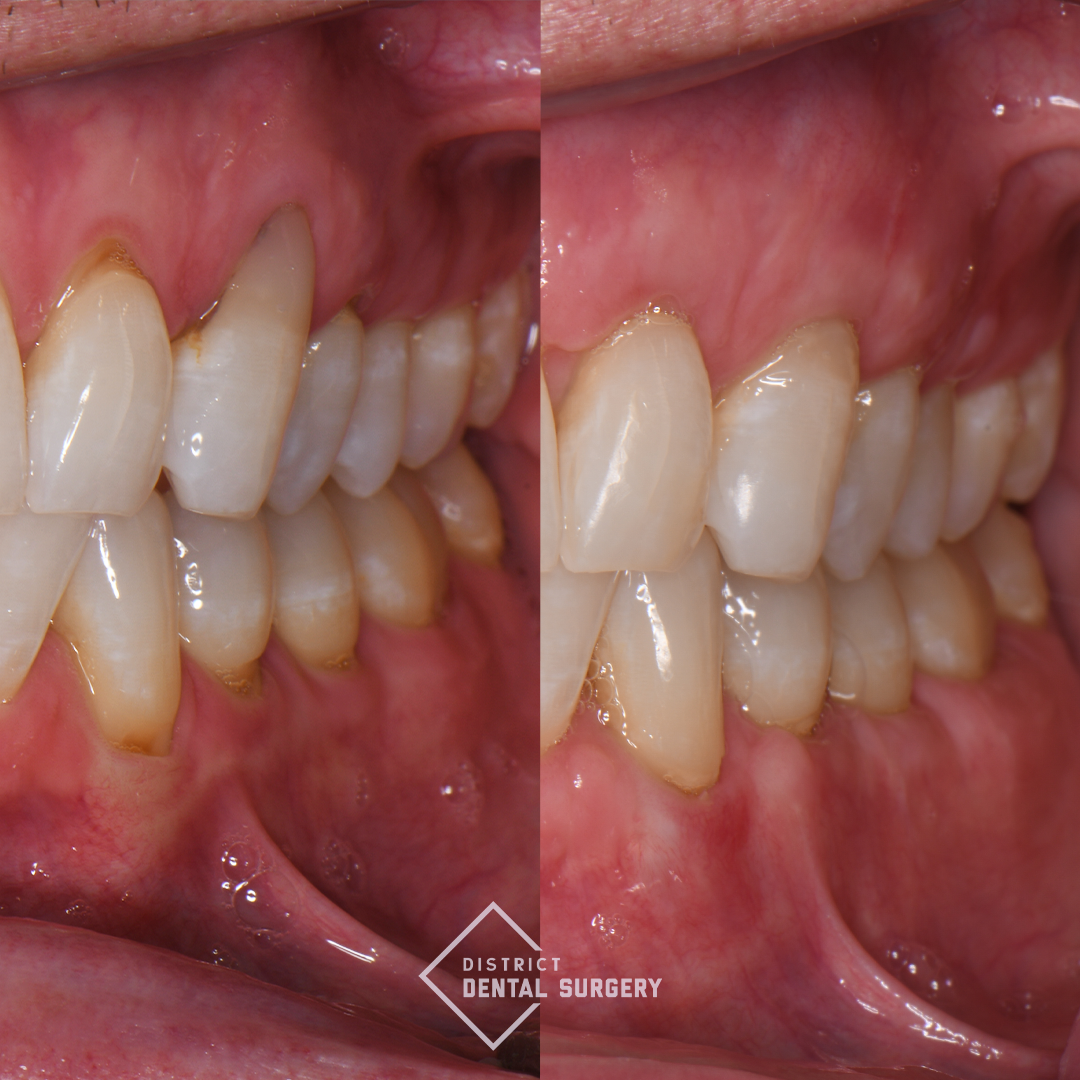
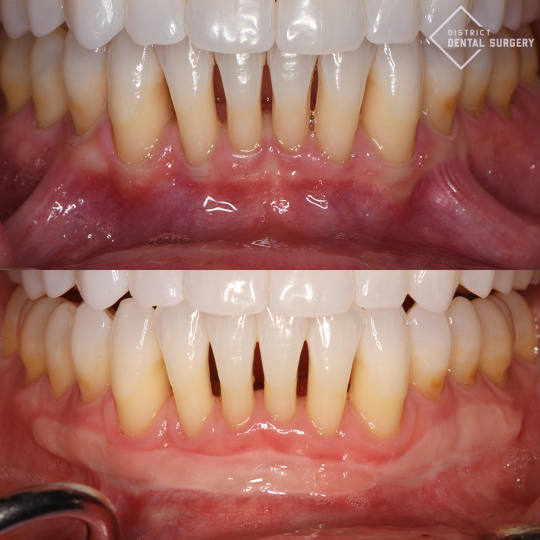
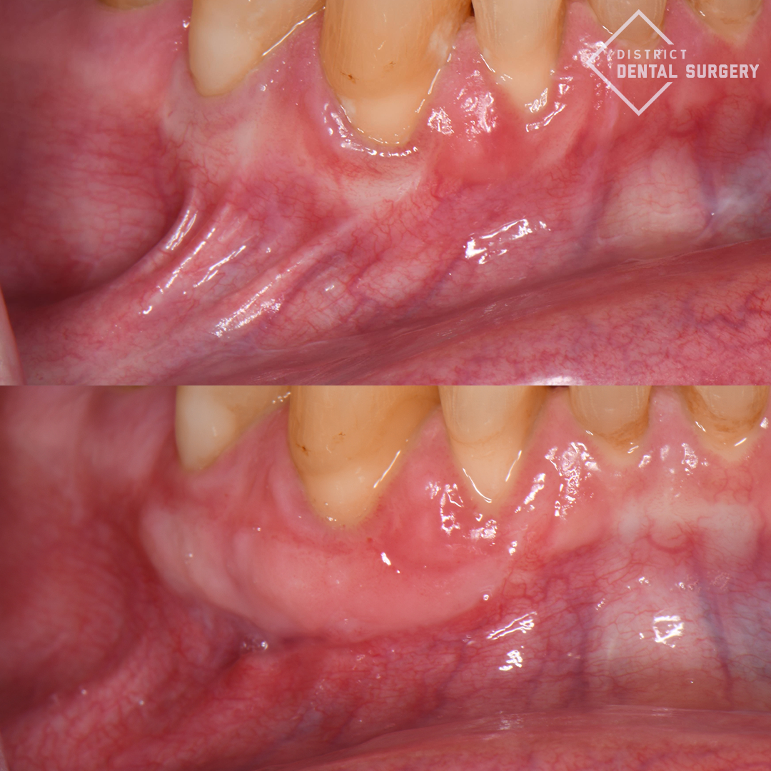
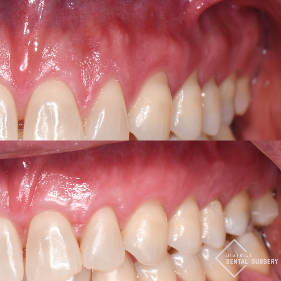
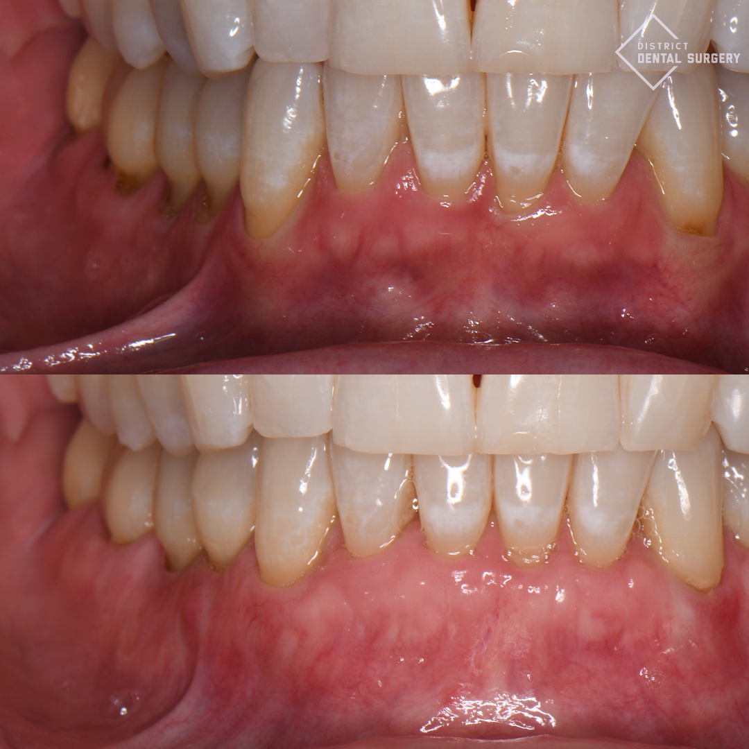
Gum grafting is a surgical procedure that is performed to cover exposed root surfaces or to build up gum tissue that has been lost due to periodontal disease. The procedure involves taking gum tissue from another area of the mouth (or using donated gum tissue) and attaching it to the gums around the teeth. Gum grafting can be used to improve the aesthetics of the smile and to protect the roots of the teeth from damage.
At District Dental Surgery, we offer gummy smile treatment to help patients achieve a more balanced, beautiful smile. A gummy smile is a term given to define smiles that show too much gum tissue. This can occur for a number of reasons: gingival hypertrophy, excessive wear on the teeth, an abnormal jaw relationship, or even the movement of the upper lip.
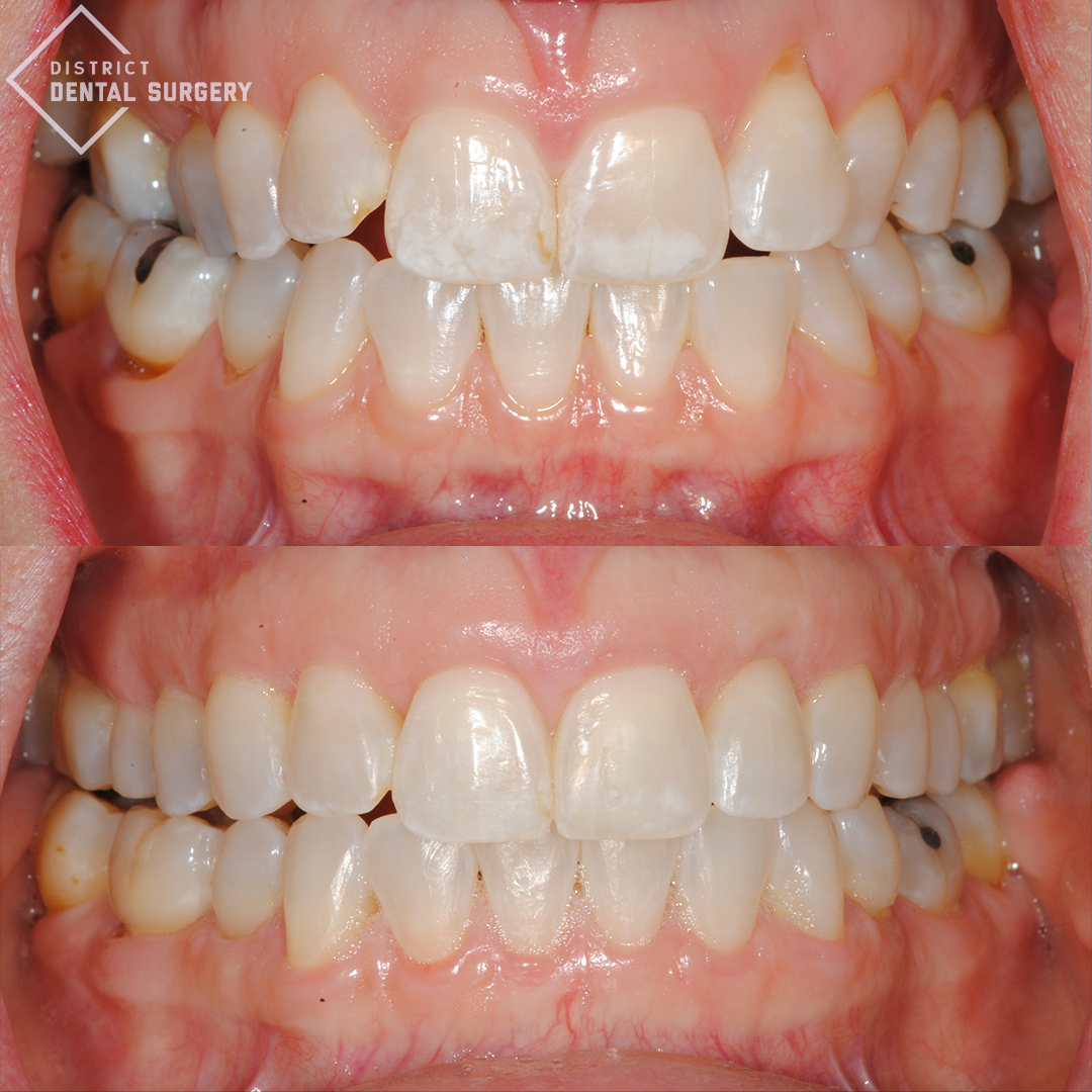
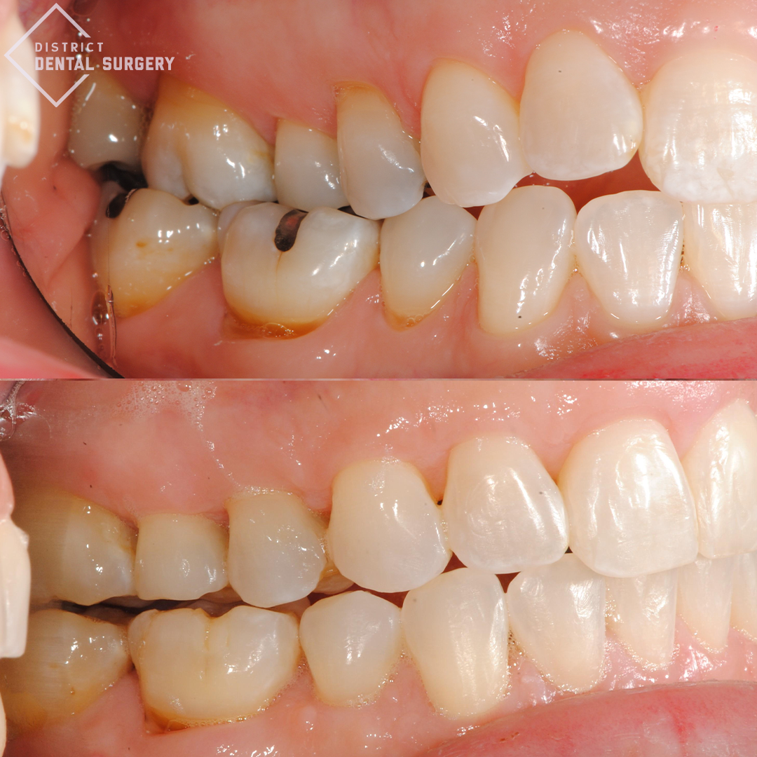
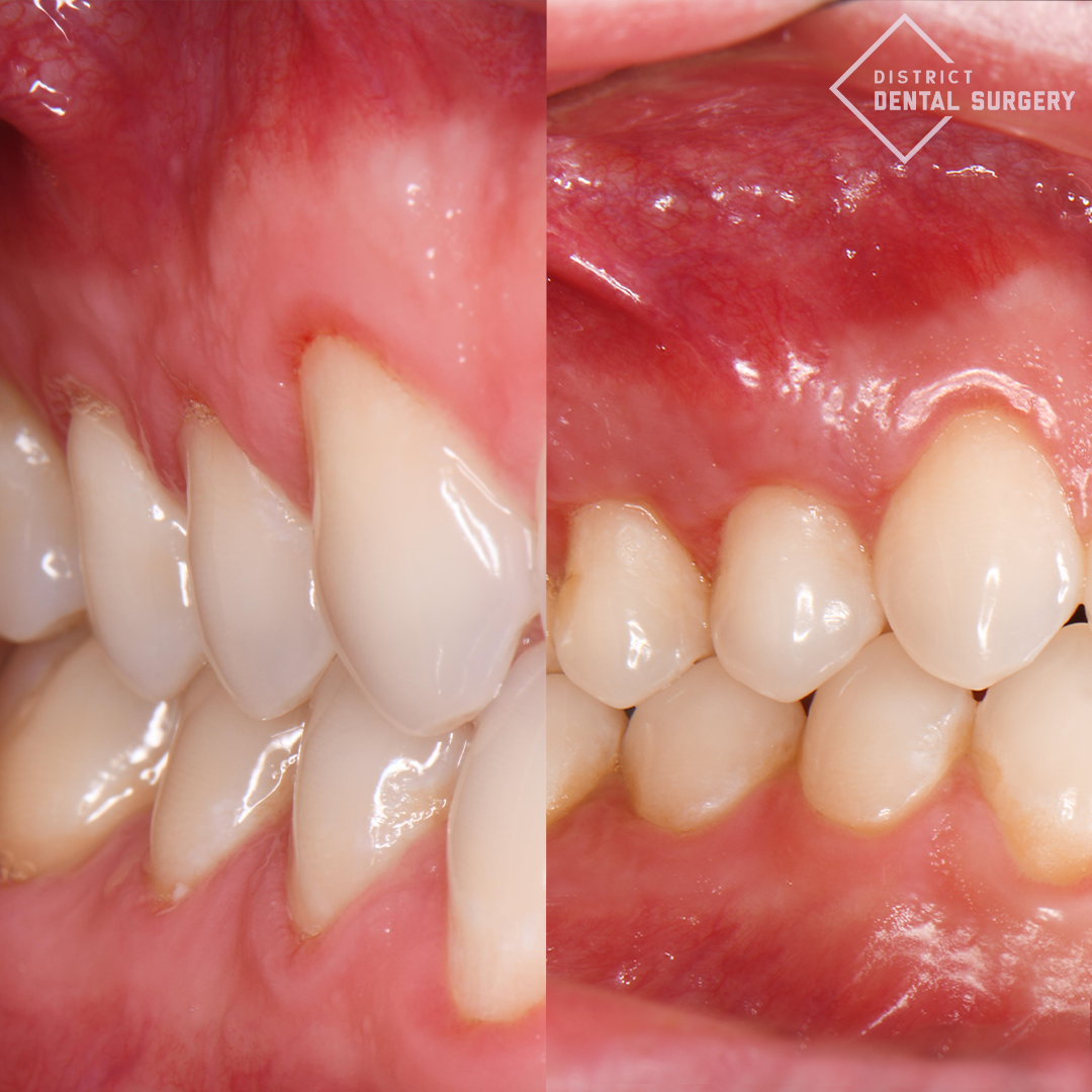
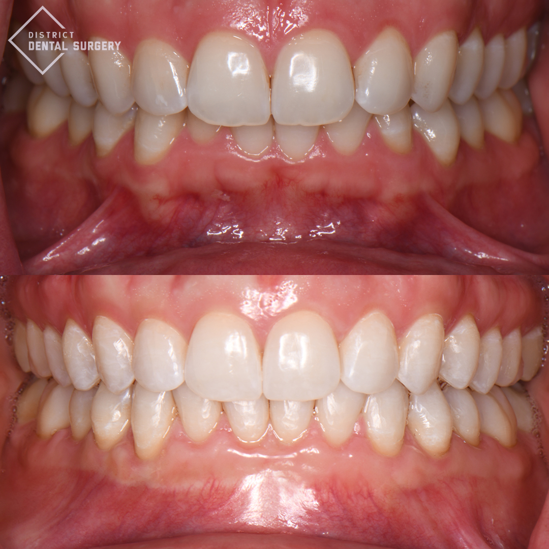
Our Gallery
Smile Gallery
District Dental Surgery Locations
Washington, DC
(Formerly Known as District Perio)
1828 L St NW Suite 860 Washington, DC 20036






























