Surgical
Gum Grafting
If you’re experiencing gum recession, sensitivity, or exposed tooth roots, gum grafting could be the solution to protect your smile and restore your oral health.
At District Dental Surgery, our skilled periodontists in Washington, DC and Bethesda, Maryland, specialize in advanced gum grafting procedures designed to rebuild gum tissue, prevent further recession, and improve the appearance of your smile. Whether caused by periodontal disease or aggressive brushing, we offer personalized treatment plans using the latest techniques to ensure lasting results and a healthier foundation for your teeth. Trust the experts in the DC Metro area for precision periodontal care.
What Causes Gum Recession?
Gum recession can occur for several reasons, including:
- Gum Disease: The most common cause, periodontal disease, destroys gum tissue and supporting bone.
- Aggressive Brushing: Brushing too hard or using a hard-bristled toothbrush can wear away gum tissue.
- Teeth Grinding (Bruxism): Excessive pressure from clenching or grinding can contribute to gum recession.
- Genetics: Some people are naturally predisposed to thinner gum tissue.
- Tobacco Use: Smoking and chewing tobacco reduce blood flow, weakening gums.
- Poor Oral Hygiene: Plaque buildup leads to gum inflammation and eventual recession.
- Orthodontic Treatments: Braces and misaligned teeth can put strain on gums, causing recession.
Why Is It Important to Treat Gum Recession?
Gum recession doesn’t fix itself, and once the gums pull away, they don’t grow back on their own. It’s a progressive condition and a sign that the support system around your teeth is weakening. If left untreated, the problem will worsen over time, even if you’re not experiencing any symptoms yet. It can lead to more invasive (and costly) treatment later, so the earlier you address it, the easier it is to protect your oral health. If left untreated, it can lead to:
1
Bone Loss & Tooth Loss
Your gums protect the bone that supports your teeth. When the gumline recedes, the underlying bone begins to break down, and this can lead to tooth loss.
2
Tooth Sensitivity
As the roots of your teeth become exposed, you may feel pain when eating or drinking hot, cold, sweet, or acidic foods. In some cases, just brushing or touching the area can hurt.
3
Increased Risk of Decay & Infection
Exposed roots are more vulnerable to cavities and plaque buildup, which can lead to more aggressive gum disease. Root cavities are harder to treat than traditional cavities, further increasing the risk of tooth loss.
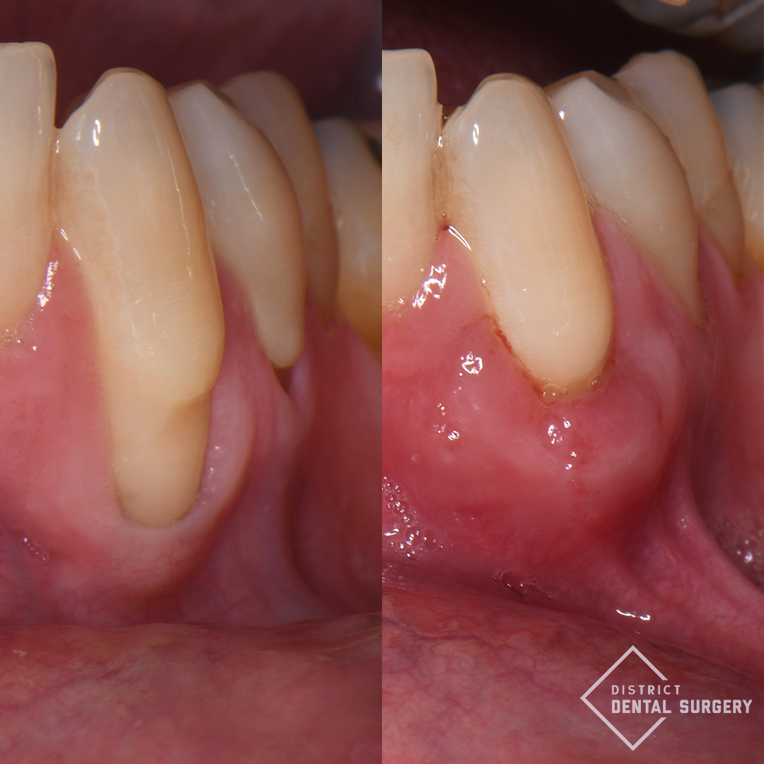
Gum Grafting: The Solution for Receding Gums
Gum grafting is a trusted solution that restores lost gum tissue and helps protect your teeth for the long term. At District Dental Surgery, we offer advanced gum grafting techniques to rebuild the gum line and improve both the health and appearance of your smile. The procedure involves carefully placing new tissue (often from your own mouth or a donor source) over the areas of recession. This not only covers exposed roots but also creates a healthier, more stable gum foundation.
With expert care from our periodontists, gum grafting is a straightforward and effective way to reverse gum recession and support your overall oral health.
How Do You Know If You Need Gum Graft?
Not sure if a gum graft is right for you? You’re not alone. Gum recession often happens gradually, and many people don’t notice the signs until it becomes more advanced. Here are some common indicators that you may benefit from a gum graft: your teeth look longer than they used to, increased tooth sensitivity, and visible root surfaces. The best way to know if you need a gum graft is through a professional evaluation. Dr. Raha Yousefi and her team will assess your gum health, measure the recession, and recommend the best course of action to keep your smile strong and healthy for years to come.
Different Types of Gum Grafts
We tailor each gum graft procedure to your unique needs. Two of the most commonly used techniques are Connective Tissue Graft (CTG) and Free Gingival Graft (FGG). Both serve different purposes, but the goal is the same: healthier gums and a stronger smile.
- Connective Tissue Graft (CTG) is the most common type of gum graft. Ideal for covering exposed roots, improving gum recession appearance, and blending seamlessly with your natural gum line. During the procedure, a thin layer of tissue is placed in the area where your gums have receded. We can obtain this tissue in two methods:
- Autogenous (Your Own Tissue): A small piece of tissue is taken from the roof of your mouth (palate) and carefully placed and sutured to the area where your gums have receded.
- Non-Autogenous (Donor Tissue): This technique uses medically processed donor tissue. The graft is placed in the same way, but without the need to take tissue from the roof of your mouth.
- Free Gingival Graft (FGG) is a type of gum graft that is used to increase the amount of thick, keratinized gum tissue around teeth, especially in areas where the gums are too thin or have receded. The procedure involves removing a thin layer of tissue from the roof of your mouth (palate) and transplanting it to the area in need. FGG is typically done more for functional purposes than for cosmetic reasons.
What is the Recovery for Gum Graft Surgery?
After the procedure, you can expect some mild swelling or tenderness in the treated area for a few days. This is completely normal and can usually be managed with over-the-counter pain relievers or any medications we prescribe. We also recommend eating cold foods (ice cream, smoothies) for the first 1-2 days, as it will soothe the area and reduce swelling. We’ll provide you with detailed post-op instructions to help you heal comfortably. Most healing occurs within 2-4 weeks. You’ll notice gradual improvements as the graft matures.
Video of Patient's Gum Graft Experience (Surgery & 1 Day Post-Op)
One day post-op and thriving!
Our patient documented her gum grafting journey with us, and she’s already looking and feeling great just 24 hours post-op! In this video, she shares what recovery has been like so far and how the surgery went.
If you’ve been nervous about the process, her experience might ease your mind.
Video of Patient's Gum Graft Recovery (2 Weeks Post Op)
2 Weeks Post-Op: Gum Grafting Recovery Update!
Our patient documented her gum grafting journey, and she’s now 2 weeks post-op! In this video, she shares how her recovery has been going and what to expect during the healing process. She just had her 2-week follow-up with Dr. Yousefi, who removed her sutures and checked on her progress.
If you’ve been wondering what recovery from gum grafting really looks like, this is a great firsthand look.
What Can I Eat After Gum Grafting Surgery?
Eating the right foods after gum grafting is just as important as the procedure itself. To help your graft heal properly and keep you comfortable, stick to soft, gentle foods that don’t require much chewing, especially in the first few days.
Day 1
Day 1: Keep It Cold and Soft. Right after surgery, your mouth will be tender, and cold foods can help soothe the area and reduce swelling. Stick to things like:
- Smoothies (no straws)
- Yogurt
- Ice cream
- Milkshakes
- Drink plenty of ice water!
Days 2–14
Days 2–14: Soft, Room Temperature Foods.
As healing progresses, you can slowly add in more soft foods that don’t require much chewing. Think:
- Mashed potatoes
- Scrambled eggs
- Oatmeal
- Cooked pasta
- Cooked, soft vegetables (squash, zucchini, potatoes)
- Soft fruits (bananas, canned fruits, avocado)
- Tender cooked meats (shredded chicken, ground turkey, ground beef)
- Soft fish (white fish or salmon)
- Pancakes
- Cottage cheese or soft cheeses
Rule of thumb: If you can smash it with a fork, you can eat it. Steamed carrot? Yes. Raw carrot? Not yet.
Foods to Avoid until Fully Healed
Foods to Avoid
To prevent irritation or damage to the graft site, avoid:
- Crunchy foods (chips, nuts, raw veggies)
- Seeds or small grains (chia, quinoa, sesame seeds, poppy seeds)
- Hard bread or crusty rolls
- Spicy or acidic foods
- Hot foods and drinks for the first couple of days
- Sticky foods (caramels, gummy candy, chewing gum)
- Anything that requires a lot of chewing
NO:
- Straws
- Alcohol
- Smoking
- Chewing on the surgical side
Gum Graft Surgery FAQs
Frequently Asked Questions
Not immediately. Only brush and floss the teeth that were not involved in the surgery. Avoid the surgical site for the first week. We’ll provide you with specific home care instructions.
Absolutely! We use advanced techniques to ensure the graft blends seamlessly with your natural gums.
Most patients are surprised by how manageable the procedure is. The area is fully numbed during surgery, and post-operative discomfort is typically mild to moderate. Any soreness is usually well controlled with medication and improves within a few days.
With proper oral hygiene and regular periodontal maintenance, gum grafting provides long-lasting results.
Depending on your needs, the tissue may come from your own mouth (often the palate) or from a donor source. Your periodontist will recommend the option that provides the best long-term result for your specific case.
No. Gum grafting is often even more important around dental implants. Healthy, thick gum tissue helps protect implants from inflammation, recession, and exposure of the metal underneath.
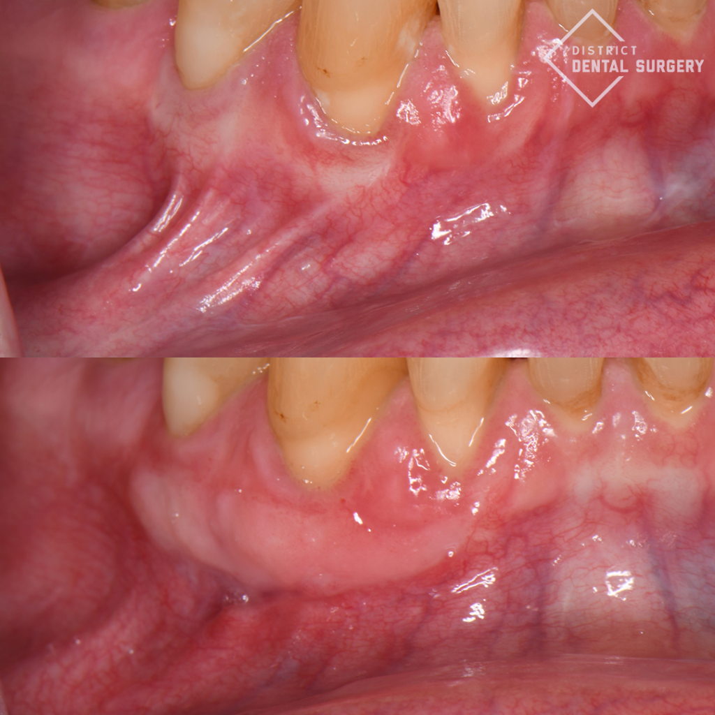
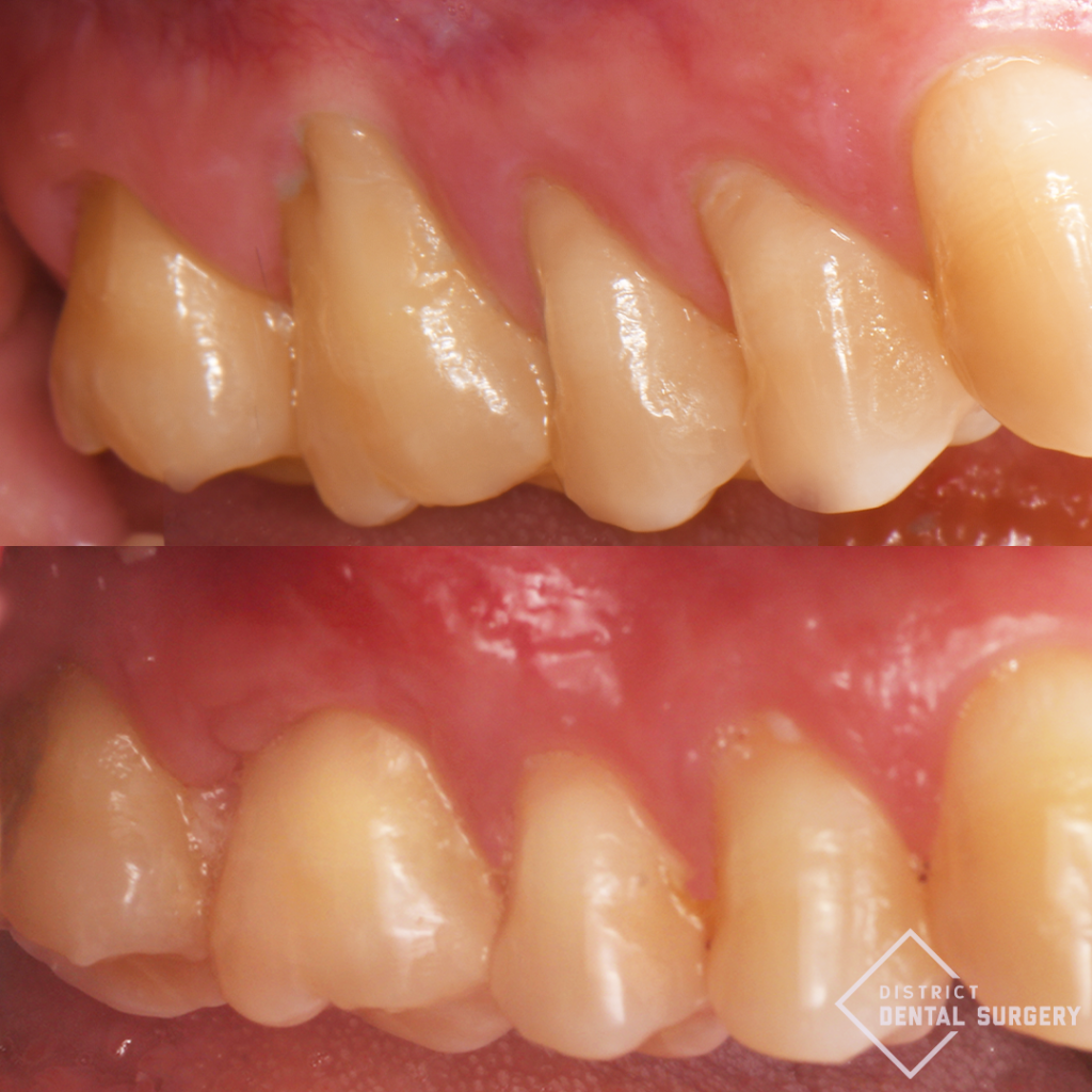
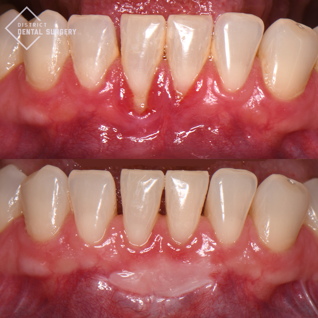
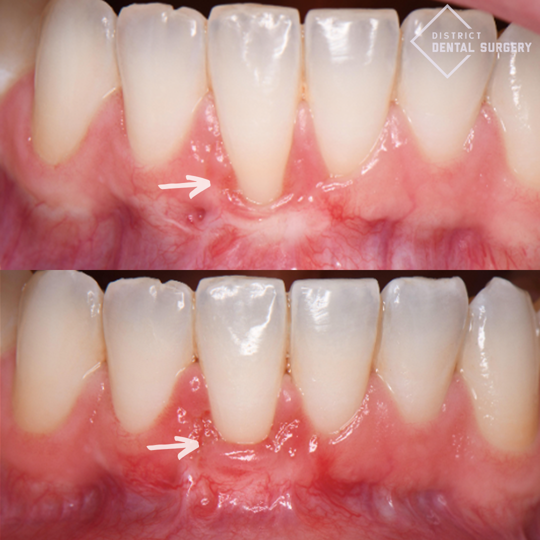
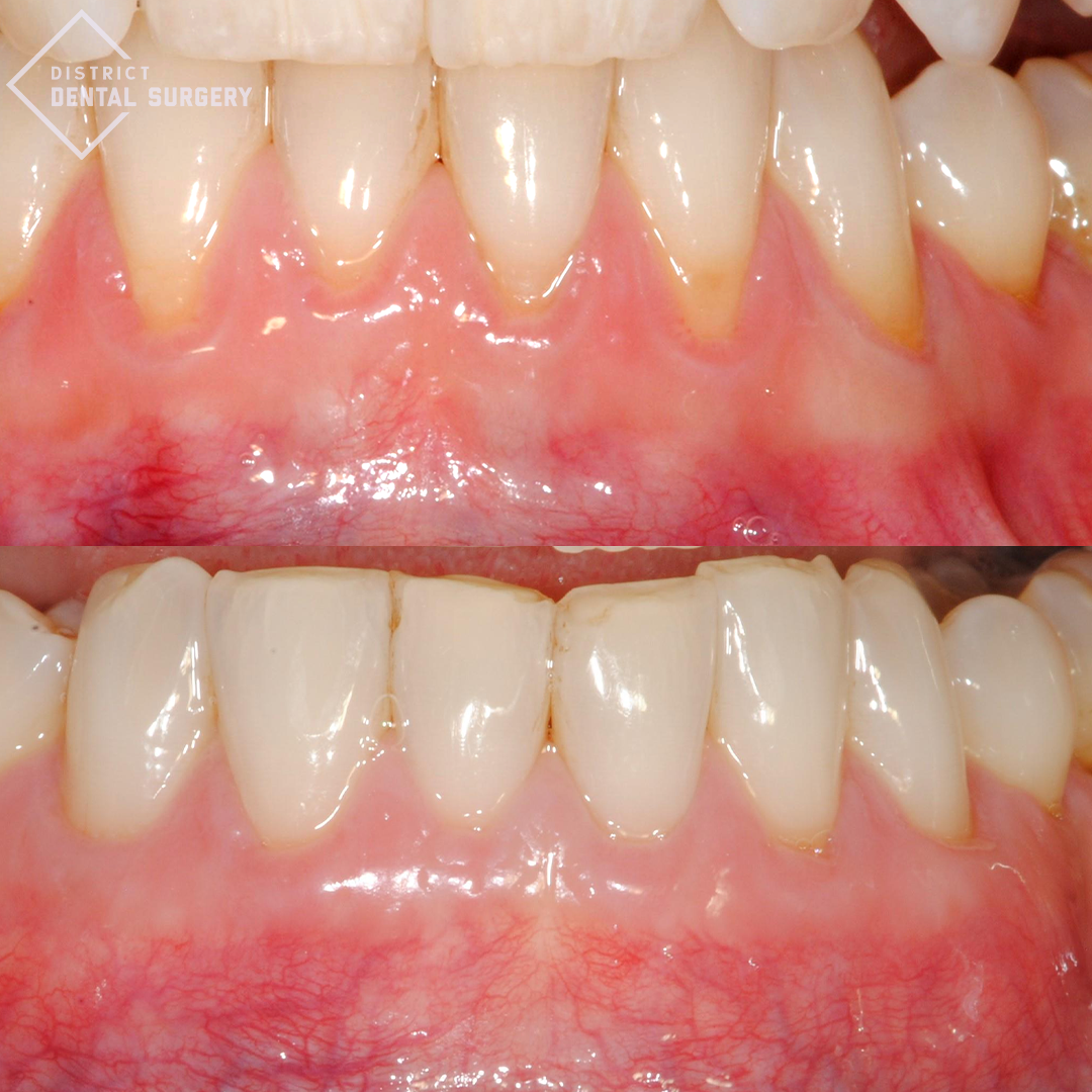
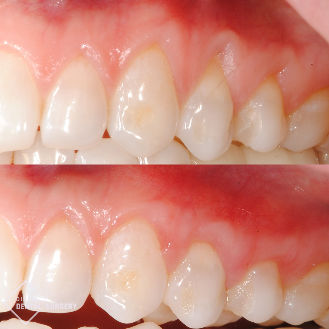
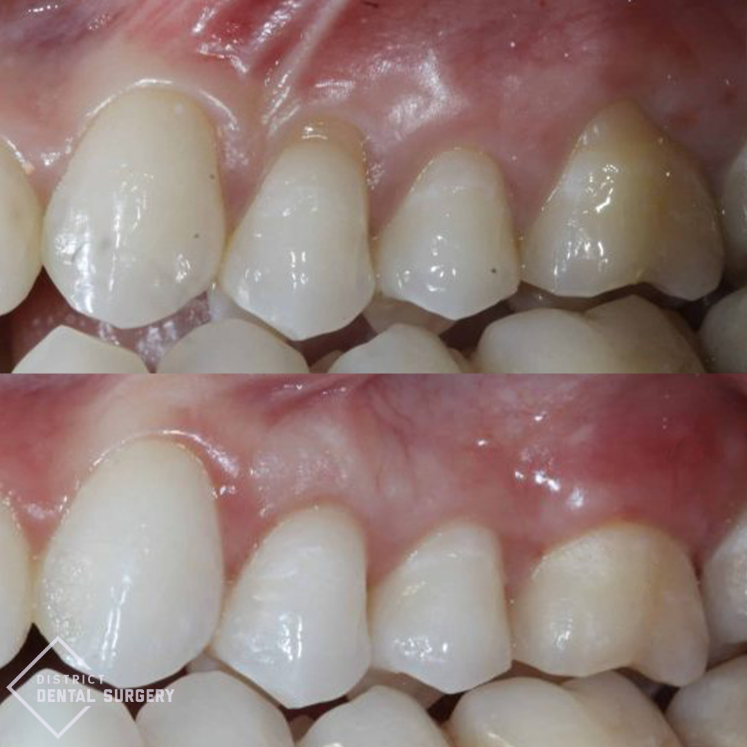
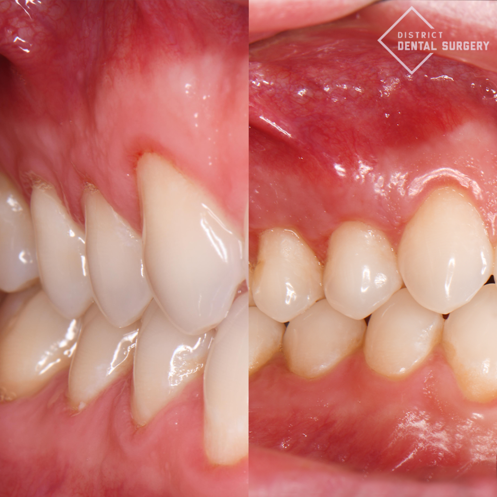
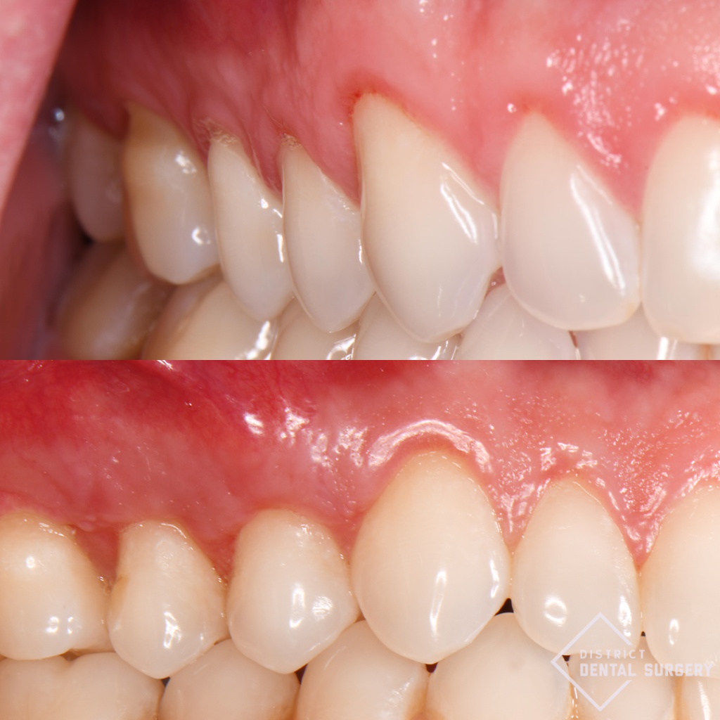
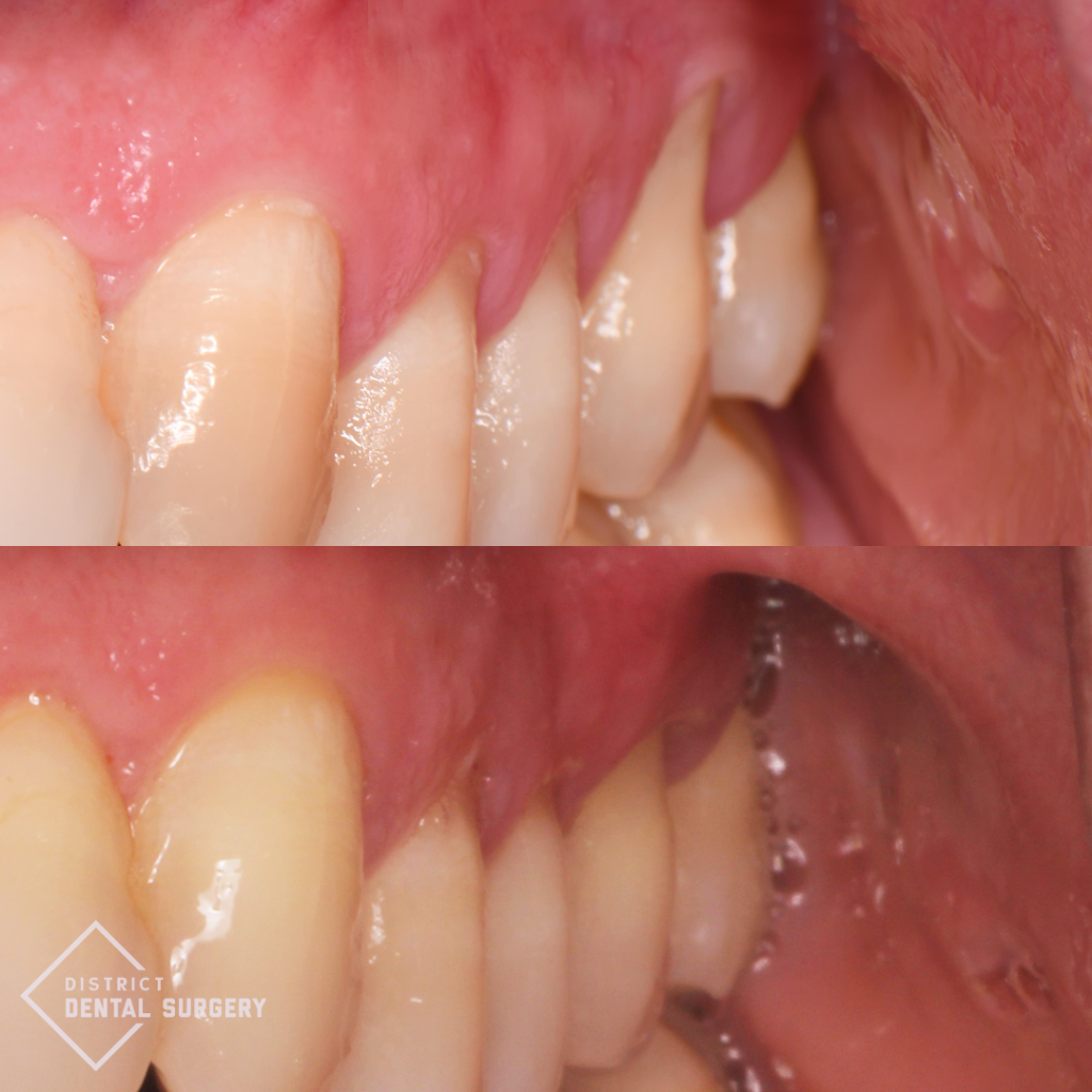
Our Transformative Results
Gum Grafting (CTG)
Gum Grafting (FGG)
Gum Grafting (CTG)
Gum Grafting (CTG)
Gum Grafting (CTG)
Gum Grafting (CTG)
Gum Grafting (FGG)
Gum Grafting (CTG)
Gum Grafting (CTG)
Gum Grafting (FGG)
Gum Grafting (CTG)
Gum Grafting (FGG)
Gum Grafting (CTG)
Gum Grafting (CGT)
Gum Grafting (CTG)
Gum Grafting (FGG)
Gum Grafting (FGG)
Gum Grafting (CTG)
Gum Grafting (CTG)
Gum Grafting (CTG)
Gum Grafting (CTG)
Gum Grafting (CTG)
Gum Grafting (CTG)
Gum Grafting (CTG)
Gum Grafting (FGG)
Gum Grafting (CTG)
Gum Grafting (CTG)
Gum Grafting (CTG)
Gum Grafting (FGG)
Gum Grafting Videos:
Our Videos
0:47
2:33
2:25
0:51
0:51
2:21
1:33
2:02
2:21
2:25
2:25
Testimonials
What Patients Are Saying
Dr. Yousefi was fantastic. She was calm, funny, and capable. She immediately put me at ease (I was pretty anxious). I have never been numbed up so quickly and near painlessly – and the rest of the procedure was then painless, too. She and her team gave clear directions as to what to do for the next 24 hours and beyond, what to eat, how to care for the flipper temporary tooth, and answered all my questions. The staff called me the next business day to follow up and answered more questions that I had come up with by then. Highly recommend.
Phyllis R.
Dr Lucy Johnson was the best! I really am grateful for her help with my dental issue, and so impressed how fast she got me in and that she was so understanding of my dental anxiety! She made sure my anxiety was controlled before my appointment and was extra careful to ensure no pain during the procedure at all. Highly highly recommend!
Halima B.
My family and I have been patients for maybe 10-15 years! After trying a bunch of different dentists, we found Dr. Yousefi and have been happy with her team and their services ever since. She has helped us with minor issues as well as major long-term care, including a broken tooth and a few implants. The service has always been amazing, and we are very happy with the quality and expertise here. The new, amazing facilities with super convenient parking are just the cherry on top!
Dmitry K.
I had a front tooth extraction with a bone grafting procedure done by Dr. Lucy Johnson, and the experience was excellent from start to finish. She explained everything clearly, made me feel completely at ease, and everything went so well during the surgery.
The recovery has gone better than expected. I was thinking that my temporary would look rugged, but it looks better than my natural tooth! The procedure was painless and recovery has been a breeze- very minimal discomfort. Her team was professional, kind, and responsive throughout. I truly appreciate the level of expertise and compassion Dr. Johnson brings to her work. Highly recommend her to anyone!
Sandra G.
I had gum recession on my molars from brushing too hard. I saw Dr Lucy Johnson and she was amazing. She was kind, patient, and thoroughly explained everything they were doing, including my treatment plan, and answered any questions I had. I couldn’t be happier with my outcome! I would highly recommend.
Dylan P.
Two weeks post-surgery and I couldn’t recommend this office more. Both doctors are wonderful and clearly very experienced with a patient-first mindset. The office followed up frequently after my surgery to ensure I was recovering well and to answer any questions. After two weeks, I have no pain from the surgery and the gums have already healed up. If you are in need of any dental surgery work, I would 100% recommend this office!
Michael A.
Sara is an excellent dental hygienist and really cares about her patients. She is very good at providing a regimen to help my gums. Dr. Eskow did my gum revision surgery years ago and he’s the best. I recently needed some more work done around the come on 12 and Dr. Eskow handled it beautifully, and his assistant Emily was great.. And the staff at the front desk always makes it a pleasant visit.
Mimi B.
Sholto S.
I’ve been a patient of Dr. Raha Yousefi for over two years, and she is truly one of the best. From day one, her professionalism and genuine care for her patients were evident. Dr. Yousefi’s expertise in dentistry is outstanding, and she takes the time to explain every step of the treatment, ensuring I feel comfortable and informed. Her warm and compassionate personality makes every visit a pleasant experience, and it’s clear she deeply values her patients. The staff at her practice is equally amazing—always friendly, professional, and welcoming. I highly recommend Dr. Yousefi to anyone seeking a dentist who combines professional excellence with heartfelt care.